is sprite bad for your teeth Is soda really bad for your teeth?

List Content

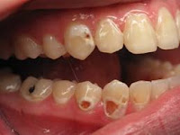
Hey there! It’s time we talked about something that affects most of us on a daily basis: soda. We all know that it’s not the healthiest option out there, but have you ever considered its impact on our teeth? Well, it’s time we delve into this topic and see what’s really going on inside our mouths when we take a sip of that fizzy drink. Firstly, let’s take a look at what happens when we consume soda. Soda, as most of us know, is loaded with sugar. This sugar reacts with the bacteria in our mouth to produce acid. This acid then starts to eat away at our enamel, which is the protective outer layer of our teeth. Now, you may be wondering why this is a big deal. Well, the answer is simple: once our enamel is gone, it’s gone for good, and this can lead to a host of dental problems down the line. So, how much damage can soda really do to our teeth? Well, a lot actually. In fact, studies have shown that soda is more corrosive to our teeth than battery acid! That’s right, battery acid. In one experiment, teeth were placed in cups filled with soda and left for two weeks. The results were shocking. The teeth placed in the soda cups had lost so much enamel that they were practically see-through, while the teeth in the water cups remained more or less unchanged. Now, you may be thinking “But wait, I drink diet soda, so I’m safe, right?” Unfortunately, this is a common myth. While diet soda doesn’t contain sugar, it’s still acidic, which means it will still corrode your enamel over time. So, it’s best to avoid soda altogether if possible. However, if you absolutely can’t resist that fizzy drink, there are a few things you can do to mitigate the damage. Firstly, try to drink soda through a straw. This will prevent the soda from coming into contact with your teeth directly, which can help reduce the damage. Secondly, drink water after consuming soda. This will help flush away any leftover acid in your mouth and neutralize the pH levels. Finally, make sure to brush your teeth at least twice a day and floss daily. This will help remove any leftover acid and bacteria from your mouth and keep your teeth healthy. In conclusion, soda is a pretty bad offender when it comes to our teeth. Its high sugar content and acidity make it a dangerous drink for our enamel. However, with a few simple steps, we can help reduce the damage and keep our teeth healthy. So, the next time you feel the urge to indulge in that fizzy drink, think twice about its impact on your pearly whites.

If you are looking for Comparing the Corrosive Effect of Coke and Sprite: This Stuff Will Rot you’ve visit to the right place. We have 5 Pictures about Comparing the Corrosive Effect of Coke and Sprite: This Stuff Will Rot like “Sprite!” I know this isn’t perfect, but I got tired of sitting home, Is Soda Really Bad For Your Teeth? - Orthodontics Limited and also Is Sprite Bad For You? - Must Read! | Sprite, Bad food, Bad. Read more:

Comparing The Corrosive Effect Of Coke And Sprite: This Stuff Will Rot

Comparing the Corrosive Effect of Coke and Sprite: This Stuff Will Rot mysciencefairexperiment.blogspot.comteeth sprite coke rot corrosive comparing effect stuff correct hypothesis result

Is Sprite Bad For You? - Must Read! | Sprite, Bad Food, Bad

Is Sprite Bad For You? - Must Read! | Sprite, Bad food, Bad www.pinterest.com“Sprite!” I Know This Isn’t Perfect, But I Got Tired Of Sitting Home

“Sprite!” I know this isn’t perfect, but I got tired of sitting home www.reddit.comsprite unmotivated madness cuz virus sonyalpha

Is Soda Really Bad For Your Teeth? - Orthodontics Limited

Is Soda Really Bad For Your Teeth? - Orthodontics Limited www.orthodonticslimited.comDentist (With Images) | Dentist, Bad Teeth, Order Of The Day

Dentist (With images) | Dentist, Bad teeth, Order of the day www.pinterest.comdentist

Sprite unmotivated madness cuz virus sonyalpha. Comparing the corrosive effect of coke and sprite: this stuff will rot. Is sprite bad for you?